手术台上躺着一名16岁少女,她因为腹部不适,正在接受阑尾切除治疗。医师的手在她腹腔内探索,却意外在卵巢位置,找到一颗直径10公分的肿瘤。医疗团队小心翼翼将肿瘤切开,赫然发现里面包了一团油兮兮的头发,而发丝之下,还有一颗带着颅骨的“微缩脑”。

尽管过程有些不可思议,但这颗“微缩脑”其实是一颗畸胎瘤,有可能是未成熟的卵细胞发生病变,分化成身体的其他部位,常见的包括头发、牙齿,脑细胞也偶有所闻。
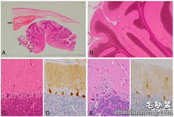
进一步分析,少女的“微缩脑”形状与小脑极为相似,它的直径约3公分,由一层薄薄的颅骨覆盖。一般来说,小脑位于左右大脑半球下方,与脑干相连,而这个肿瘤也有类似的结构。
日本滋贺县成人病医疗中心新宅雅幸博士表示,“卵巢肿瘤里面长出脑细胞并不稀奇,这次比较特殊的地方在于,它竟然长成一个完整的脑部结构,甚至可以像正常脑一样,在神经细胞之间传递信号。”
▼将“微缩脑”切片检验,发现它们确实能够传导神经信号

这样一来,患者会不会受到“微缩脑”影响,感觉神经错乱呢?
过去曾有相似案例显示,妇女在长出卵巢畸胎脑细胞后,出现性情大变、偏执狂、情绪激动、癫痫、记忆丧失等问题。还有患者的免疫系统将肿瘤内的脑细胞当作入侵物加以攻击,最后导致患者的正常脑也连带受到影响,引起发炎的案例。
不过临床报告指出,本案例中的16岁女孩并没有出现神经系统方面的异状,在移除肿瘤后,也未并发后遗症,恢复状况十分良好。

